Blog - Page 2
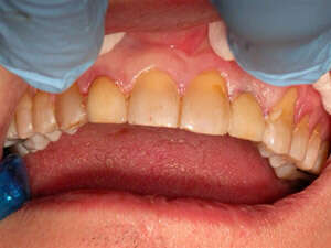
Pose de 4 facettes sur les incisives du haut
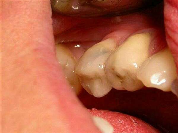
Mise en place d’un onlay tout céramique pour combler une attaque carieuse importante. Notez la finesse de la piece en céramique et sa parfaite adaptation sur la dent.
Ce cas clinique est une illustration pédagogique d'un traitement odontologique. L'objectif est de mettre en image des soins dentaires pour en avoir une meilleure compréhension.
Reconstitution d’une dent par un Onlay sur dent vivante en 2 seances. Remplacement de la 2e molaire absente de longue date pour permettre une meilleure mastication : pose de l’implant avec soulevé de sinus puis de la couronne définitive 4 mois apres.
Ce cas clinique est une illustration pédagogique d'un traitement odontologique. L'objectif est de mettre en image des soins dentaires pour en avoir une meilleure compréhension.
Dent tres délabrée. Traitement de dévitalisation. Inlay core de reconstitution. Collage de la nouvelle couronne permettant de conserver cette dent.
Suite à des felures et petites fractures des 4 incisives du haut : confection en 1 seance des 4 facettes sur ces 4 incisives vivantes. Amélioration de l’esthetique et de la solidité des dents.





