Cabinet dentaire des Dr Olivier RAPOPORT et Dr Fanny LACOMBRADE
Chirurgien-Dentiste (Val de Marne 94)
  • Accueil
  • Le cabinet
  • Plan d'accès
  • Urgences
  • Vidéos
  • Fiches Conseils
  • Implantologie
  • Parodontologie
  • Esthétique
  • Préparer ma consultation
  • Questionnaire pré-RDV
1 rue de coeuilly, 94350 Villiers sur Marne
+33 7 83 22 47 27
  • Accueil
  • Le cabinet
  • Plan d'accès
  • Urgences
  • Vidéos
  • Fiches Conseils
  • Implantologie
  • Parodontologie
  • Esthétique
  • Préparer ma consultation
  • Questionnaire pré-RDV
Cabinet dentaire des Dr Olivier RAPOPORT et Dr Fanny LACOMBRADE
Chirurgien-Dentiste (Val de Marne 94)

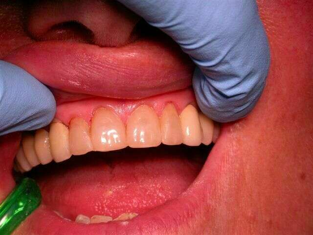
Facettes sur incisives du haut realisées en 1 seance.

Fiches conseils
Avant
Après

Précédent

Changement de couronne metallique à couronne ceramique sur une molaire supérieure.

Suivant

Couronne sur une molaire du bas pour permettre sa sauvegarde.

Articles similaires

Pose de 4 facettes sur les incisives du haut

Fiches conseils

Cas d'onlay sur une prémolaire du bas

Fiches conseils

Remplacement d'une molaire du haut par un implant et pose d'un onlay sur la dent voisine.

Fiches conseils

Couronne sur une molaire du bas pour permettre sa sauvegarde.

Fiches conseils

Cabinet dentaire des Dr Olivier RAPOPORT et Dr Fanny LACOMBRADE

1 rue de coeuilly
94350 Villiers sur Marne

+33 7 83 22 47 27

  • Politique de confidentialité et charte cookie
  • Mentions légales
  • Conditions Générales Utilisation
  • Charte déontologique
  • Ordre national
  • Annuaires chirurgiens dentistes

Création par Webdentiste

Connexion

Vidéo en cours de lecture