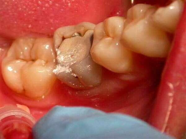
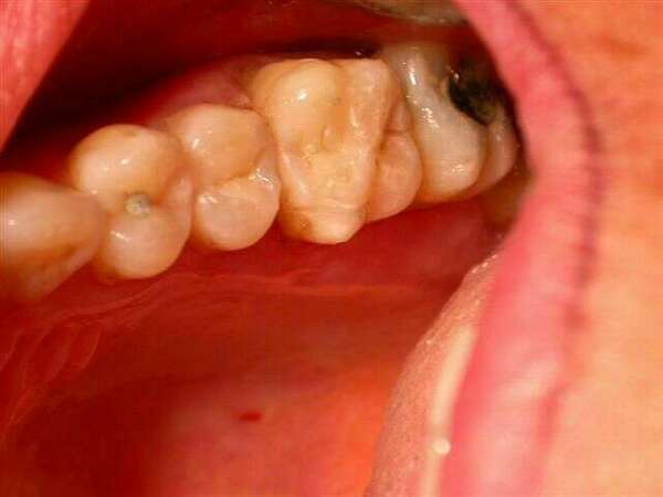
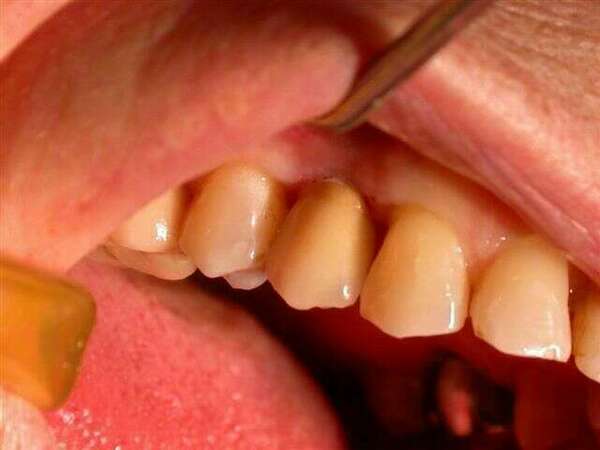
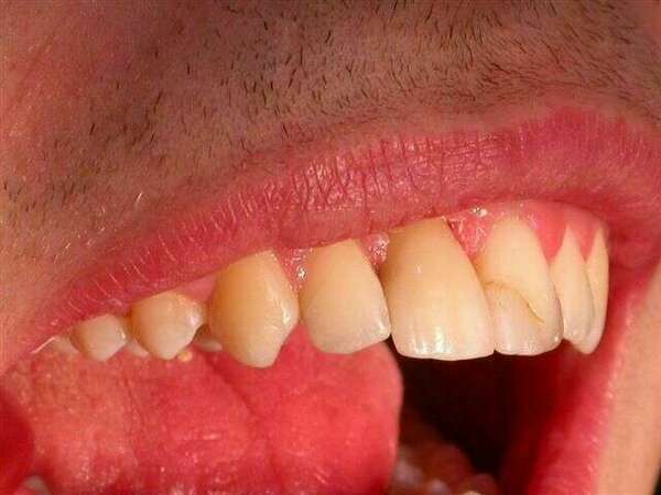
Cas traité au cabinet dentaire du Dr Rapoport à Villiers sur Marne
Couronnes tout ceramique et onlay céramique réalisés en moins d’un mois apres reprise des traitements de dévitalisation, mise en place d’inlay cores clavetés et des couronnes définitives.





