Couronne métallique inadaptée et recariée sur la racine, déposée, traitement de dévitalisation repris, mise en place de tenons anatomiques et collage de la couronne définitive tout ceramique en 4 séances.
Blog - Page 3
Cas traité "Incisive du bas - Implant unitaire" au cabinet dentaire de Villiers sur Marne.
Incisive du bas cassée et extraite suite à une attaque carieuse de la racine. Remplacement immédiat par un implant. La couronne définitive , elle, est placée 4 mois apres la cicatrisation implantaire.
Cas traité "Onlay molaire supérieure" au cabinet dentaire de Villiers sur Marne.
Reconstitution des ¾ de cette dent grace à un Onlay céramique sur dent vivante en 2 seances.
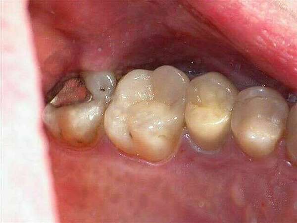
Cas traité "Onlay molaire" au cabinet dentaire du Dr Rapoport à Villiers sur Marne
Onlay céramique réalisé en 2 seances sur cette molaire du haut permettant d’éviter une dévitalisation et une fracture de cette dent.
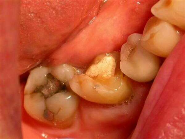
Cas traité au cabinet dentaire du Dr Rapoport à Villiers sur Marne
Fracture dentaire tres importante. Dent dévitalisée, reconstituée avec un inlay core claveté et mise en place de la couronne définitive tout céramique. Ceci en 4 séances.
Cas traité au cabinet dentaire du Dr Rapoport à Villiers sur Marne
La teinte de la dent a changé suite à un choc pendant l’enfance. Facette réalisée sur dent vivante en 2 seances.




